bleb
Australia
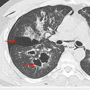
Pulmonary blebs are small subpleural air-filled circumscribed cystic spaces, usually less than 1 cm in diameter. There is an association with small airways disease. Rupture causes pneumothorax and is associated with tobacco smoking.

Blebs are thought to occur as a result of subpleural alveolar rupture, due to strain overload of the elastic fibers.

Pulmonary bullae are, like blebs, cystic air spaces that have an imperceptible wall (less than 1 mm). Bullae are typically larger but there is no size cut-off to distinguish bullae from blebs. Blebs may, over time, coalesce to form bullae.

The smallest blebs are not visible on imaging but can be detected in pathological specimens.
Pulmonary blebs are small subpleural air-filled circumscribed cystic spaces, usually less than 1 cm in diameter. There is an association with small airways disease. Rupture causes pneumothorax and is associated with tobacco smoking.

Blebs are thought to occur as a result of subpleural alveolar rupture, due to strain overload of the elastic fibers.

Pulmonary bullae are, like blebs, cystic air spaces that have an imperceptible wall (less than 1 mm). Bullae are typically larger but there is no size cut-off to distinguish bullae from blebs. Blebs may, over time, coalesce to form bullae.

The smallest blebs are not visible on imaging but can be detected in pathological specimens.
当前正在游戏
边缘世界 RimWorld
最新动态
总时数 884 小时
当前正在游戏
总时数 172 小时
最后运行日期:4 月 19 日
总时数 89 小时
最后运行日期:4 月 17 日
Benji 2 月 22 日 下午 9:19 
N!GG3R
Benji 2 月 22 日 下午 9:19 
♥♥♥♥♥♥
SpotlessPanda_0 1 月 15 日 下午 4:22 
Aim PLEB lol
76561199544400793 2025 年 10 月 18 日 上午 3:45 
accept my friend request pls :D
🌘Sora💫 2025 年 9 月 3 日 上午 4:54 
promised to party up then disappeared into the void, forget about me)))
76561199494003041 2025 年 7 月 1 日 上午 12:09 
+rep,add me